Skip to content
Call NZIDT on +64 27 5478953|admin@nzidt.org.nz
  • My Account

    Register
NZIDT Logo
  • Home
  • About
    • NZIDT Executive
    • NZIDT Branches
    • Membership – application and benefits
    • Frequently asked questions
  • Services
    • Career Information
    • Recertification and CPD Programme
    • Dispute Mediation
    • Research Funding
  • Events
    • Congress 2026
    • Past Events
      • NZIDT Conference 2025
      • NZIDT Conference 2024
      • NZIDT Conference 2023
      • Virtual Conference 2022
      • NZIDT Conference 2021
      • NZIDT Conference 2019
      • NZIDT Conference 2018
      • NZIDT Conference 2017
      • NZIDT Conference 2016
      • NZIDT Conference 2015
    • Gallery
  • Recertification and CPD
    • CPD Courses
      • Online CPD
    • CPD peer contact
    • CPD Provider Application
    • Verifiable CPD Entitlement
  • Classifieds
  • Contact
    • Locate a Lab or Clinic

Olivier Tric images 2018

  1. Home
  2. Olivier Tric work
  3. Olivier Tric images 2018
Previous Next
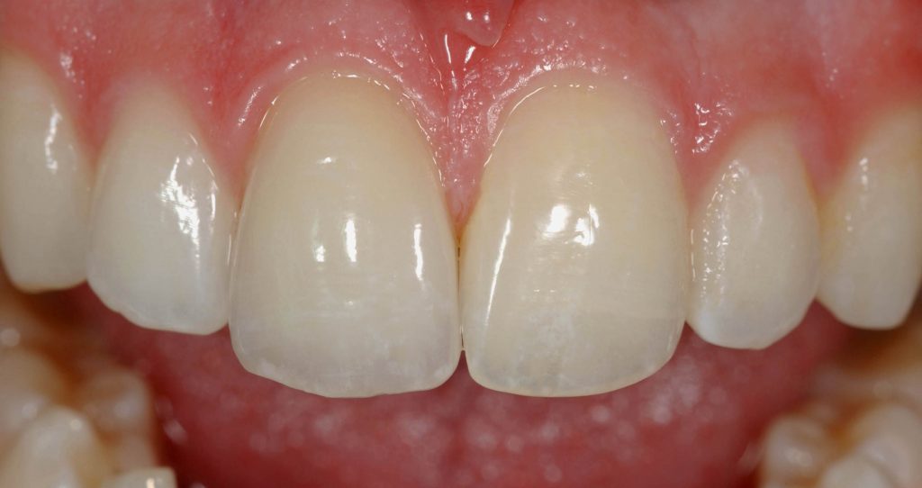
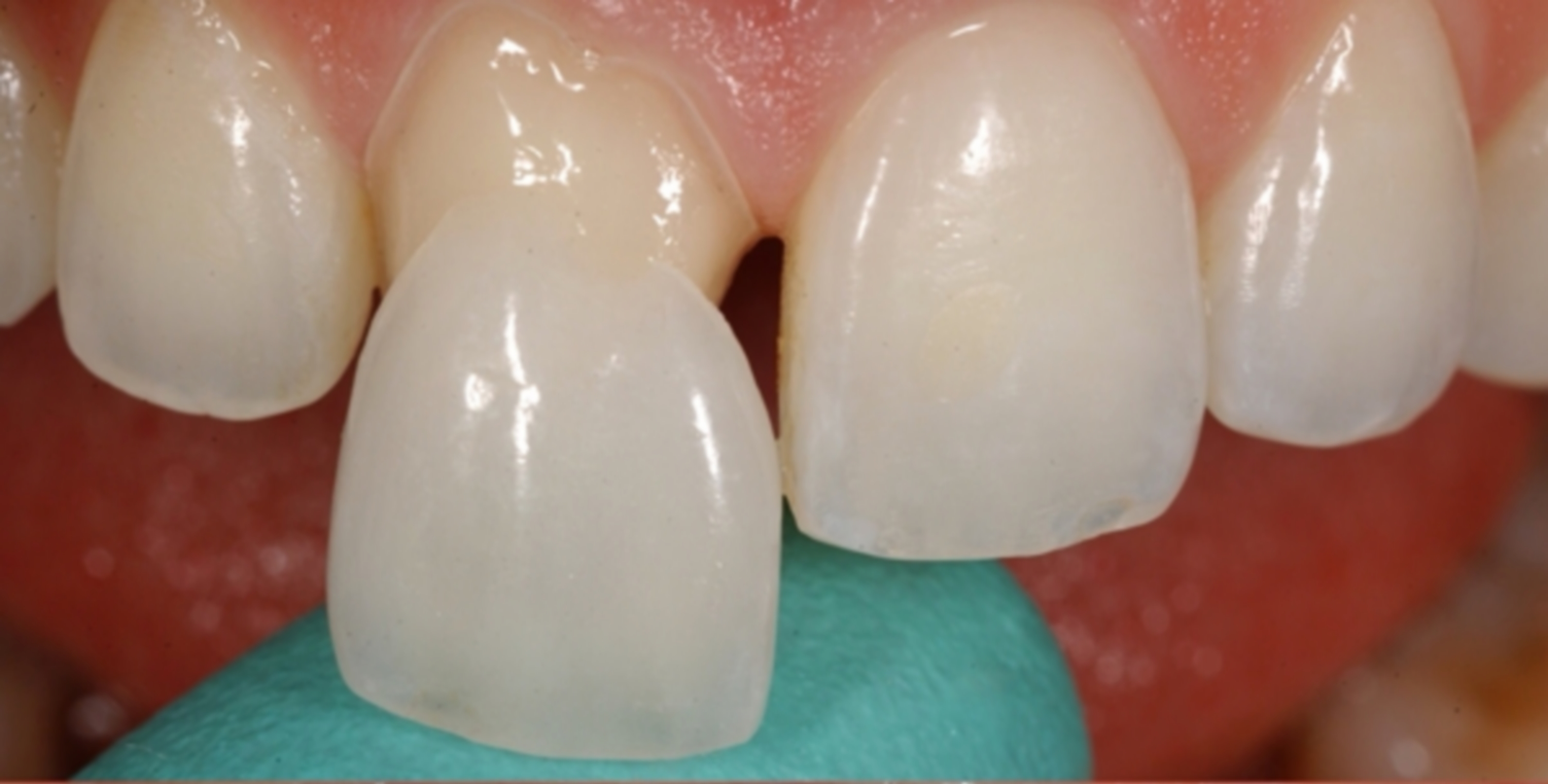
Olivier Tric – Single Central Veneer
Olivier Tric – Veneers Jacket Crowns
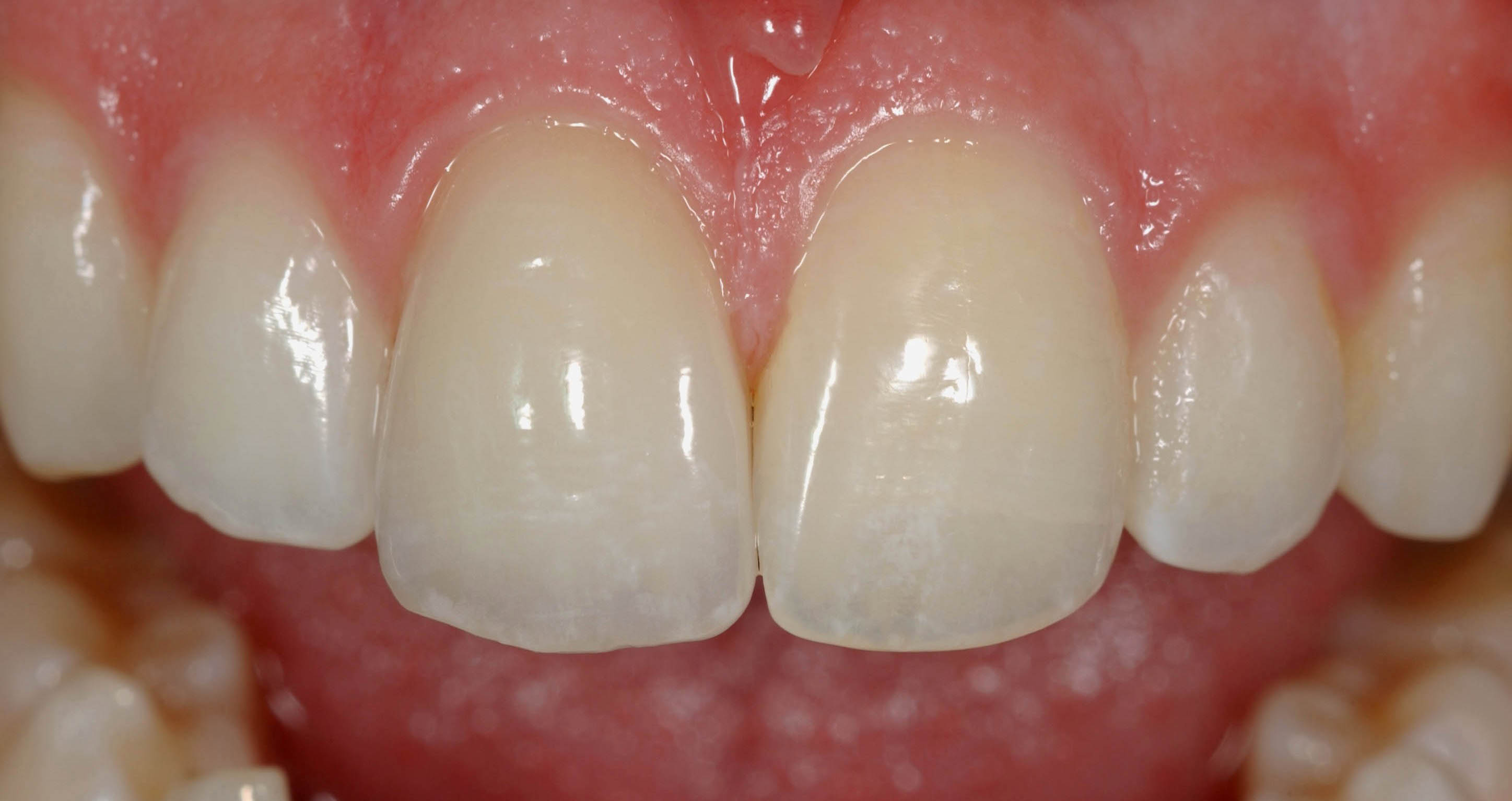
Tric image

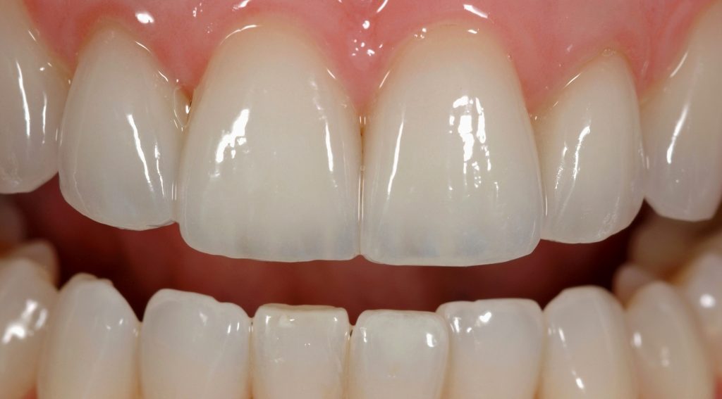
Olivier Tric Veneers
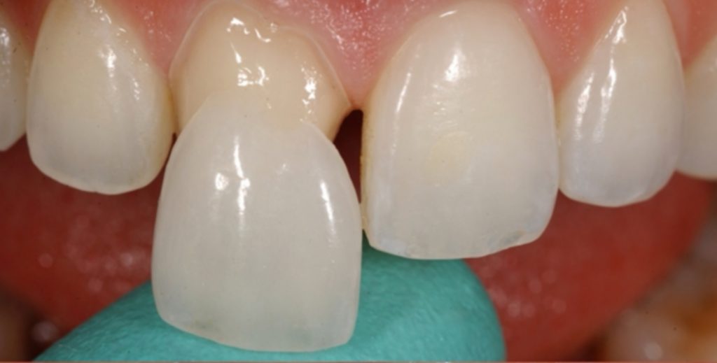
Olivier Tric – Single Central Veneer on model

Share This Story, Choose Your Platform!

FacebookXRedditLinkedInTumblrPinterestVkEmail

New Zealand Institute of Dental Technologists

Mission Statement: To facilitate the advancement of Dental Technology in a way that promotes the mutual respect and abilities of our members in a proactive way.

Recent Posts

Congress 2026

Congress 2026 registrations opening Monday 16 March

Contact Info

PO Box 458
Waipukurau 4242

Phone: +64 6 858 7921

Email: admin@nzidt.org.nz

Web: Regional branch contacts

© Copyright NZIDT New Zealand Institute of Dental Technologists | All Rights Reserved | Site by Finity
Page load link